| 乳歯の重要性について | |
| お子様の乳歯の大切さをご存知ですか? | |
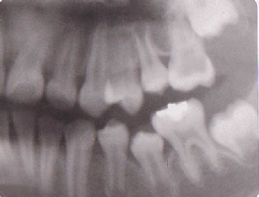
| 乳歯は、それぞれの年齢で重要な役割を果たしています。 そして、ある時期が来ると下から萌出してくる永久歯と交換します。 もし、交換すべき時期より虫歯が原因で早く喪失してしまったらどうなるでしょうか。 例えば、下の写真(図1)を見て下さい。永久歯が歯と歯との間にはさまれて出てこれなくなっています。 また、図の2のように、乳歯は、下から萌出してくる永久歯の場所を確保している役割を果たしています。 どうせ永久歯と交換するから虫歯になっても関係ないと考えるのは大きな間違いです。 乳臼歯は、10歳頃に永久歯と交換します。もし、虫歯でもっと早い時期に喪失すればほとんどの場合下の図1の写真のような状況を引き起こします。 そして大人になっても同じ状況が続きます。周囲に食べかすが溜まりやすく虫歯や歯周病になり、不正な萌出をした歯やその周囲の歯が失われていく可能性が高くなります。ブリッジや入れ歯が必要になります。ブリッジならその周囲の歯を削ることになり、削った歯は、削らない歯より寿命が短くなります。入れ歯も同様です。また、治療をしないでそのままにしておくと図の3のように歯が移動してかみ合わせが悪くなり、歯列不正や顎関節症など様々な問題を引き起こします。そういう悪循環で歯がどんどん失われていくことになります。図4 御理解いただけたでしょうか? たかが、乳歯と思わないで下さい。 | 
|  |  |  | |
|  |  |  | |
|  | |||
|  |  |